齐点淄博APP
齐点淄博微信
齐点淄博抖音
齐点淄博快手
您的位置: 首页 > 齐点淄博 > 淄博广电 > 融媒 > 融媒列表

20岁的年轻小伙毛宇(化名)
平日身体健康,喜欢小动物
但没想到
前不久一次被流浪猫咬伤的经历
竟然让他高烧不退
近乎失明
这是怎么回事?

反复高烧、视力减退
竟是被小猫咬伤所致
2个月前,小伙毛宇突然出现头痛头晕、颈部酸痛、发热咳嗽等症状,自行服用感冒药未见效后前往当地县级医院就诊。但经过9天的住院治疗,他还是反复发热,体温最高达到40℃,并出现视力减退、右眼视野缺损等症状。

患者右眼眼底照片
随后,毛宇转诊至上海交大医学院附属新华医院感染科。此时,他的右眼视力已降至“手动”(只能感知到手在眼前晃动)。医生在详细询问病史后,发现他在20余天前曾喂食流浪猫并被咬伤鼻翼,怀疑可能是“猫抓病”合并视神经视网膜炎。最终检验结果显示,确诊为“猫抓病”。在明确病因后,经过一系列有针对性的治疗,毛宇已顺利出院,视力明显好转。
狂犬病大家听得不少
但对“猫抓病”可能相对陌生
被猫抓伤就一定会得病吗?
“猫抓病”有何症状?
如何预防?
一起来看!
什么是“猫抓病”?
“猫抓病”是一种由汉赛巴尔通体感染引起的人畜共患病,一般通过携带病菌的猫狗等宠物抓伤、咬伤,或舔舐身上的开放性伤口而感染。病菌也可经过跳蚤、虱子传播给人。

汉赛巴尔通体的电镜照片(图源:广州卫健委)
该病的传染源主要是带菌的猫,病原体存在于猫的口咽部。90%以上患者与猫有密切接触史。57%-78%的患者有被猫抓伤史。

怎么确认
自己有没有患病?
一般来说,人中招后会有比较明显的症状:
猫抓伤部位3~4天后出现红斑丘疹。
2~4周后该部位淋巴引流区域淋巴结出现肿大,注意,此时猫抓伤口早已愈合,容易被患者忘记,从而少了“猫接触史”这一重要线索。
多表现为单侧淋巴结肿大,肿胀并伴有疼痛,手肘、腋窝、颈部、腹股沟处较为常见。
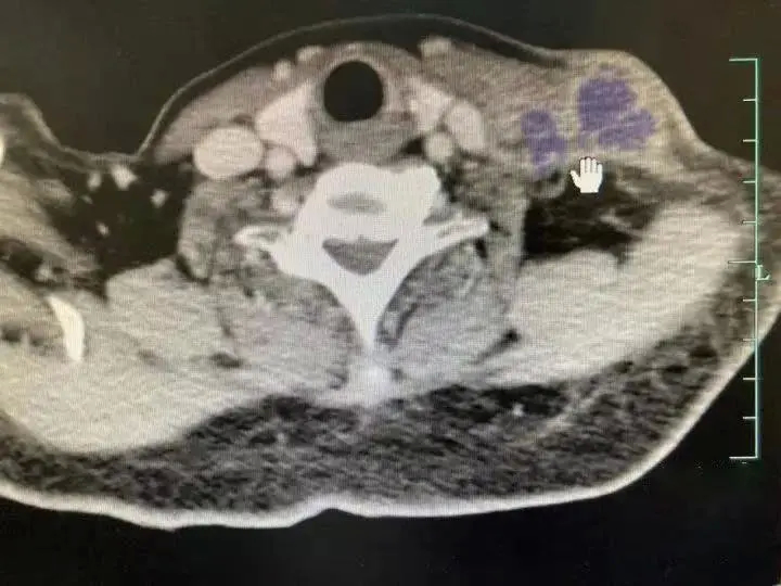
2022年5月,杭州67岁的陈阿姨突然发现自己右边的脖子肿了,并伴有触痛。就近住院用了半个月消炎药,症状未见好转。
随后,陈阿姨前往杭州市红十字会医院就诊,医生为她进行了全面的病原基因检测,最终在淋巴结穿刺组织的NGS检测中发现了汉赛巴尔通体,再结合陈阿姨养猫的情况,考虑是“猫抓病”。

陈阿姨的CT报告结果(图源:浙医在线)
部分患者可出现全身症状,如高热、全身不适、咽喉痛、脾肿大、结膜炎,甚至抽搐等。
部分患者会出现眼部并发症,如视盘水肿、黄斑水肿伴渗出,随后逐渐形成黄斑前膜等,导致视力下降。
看到这里
家有“喵星人”的一定都在瑟瑟发抖
这么吓人
还能愉快“吸猫”吗?

做好这几件事
就能安心“吸猫”
并不是所有的猫抓伤人都会引起“猫抓病”,猫本身带菌才会把细菌传染给人。
一般情况下,家养的“猫主子”比较干净,带菌的概率比较低。流浪的“喵星人”,接触的细菌较多,被感染的概率也大很多。
做好这几件事,就能安心与猫咪玩耍了:
定期驱虫
跳蚤、虱子等体外寄生虫,是汉赛巴尔通体的主要传播媒介,为猫驱虫能有效预防“猫抓病”。
不要随意与流浪猫接触
如领养流浪猫,要为其进行全面的体检和人畜共患病筛查。
“撸猫”后洗手
“撸猫”后要用肥皂水洗手,不要让猫舔到伤口。特别是孩子或免疫力低下人群,尽可能避免与猫激烈玩耍。
逗猫别过火
“撸猫”时不要过分亲密接触,尽量不要刺激猫,以免被咬伤或抓伤。一旦受伤,应立即用肥皂和流动的清水冲洗受伤部位,警惕狂犬病或“猫抓病”感染风险,及时就医。
来源:央视网
扫码下载
齐点淄博APP
扫码关注
齐点淄博微信公众号
扫码关注
齐点淄博抖音号
扫码关注
齐点淄博快手号







