齐点淄博APP
齐点淄博微信
齐点淄博抖音
齐点淄博快手
您的位置: 首页 > 齐点淄博 > 淄博广电 > 融媒 > 融媒列表
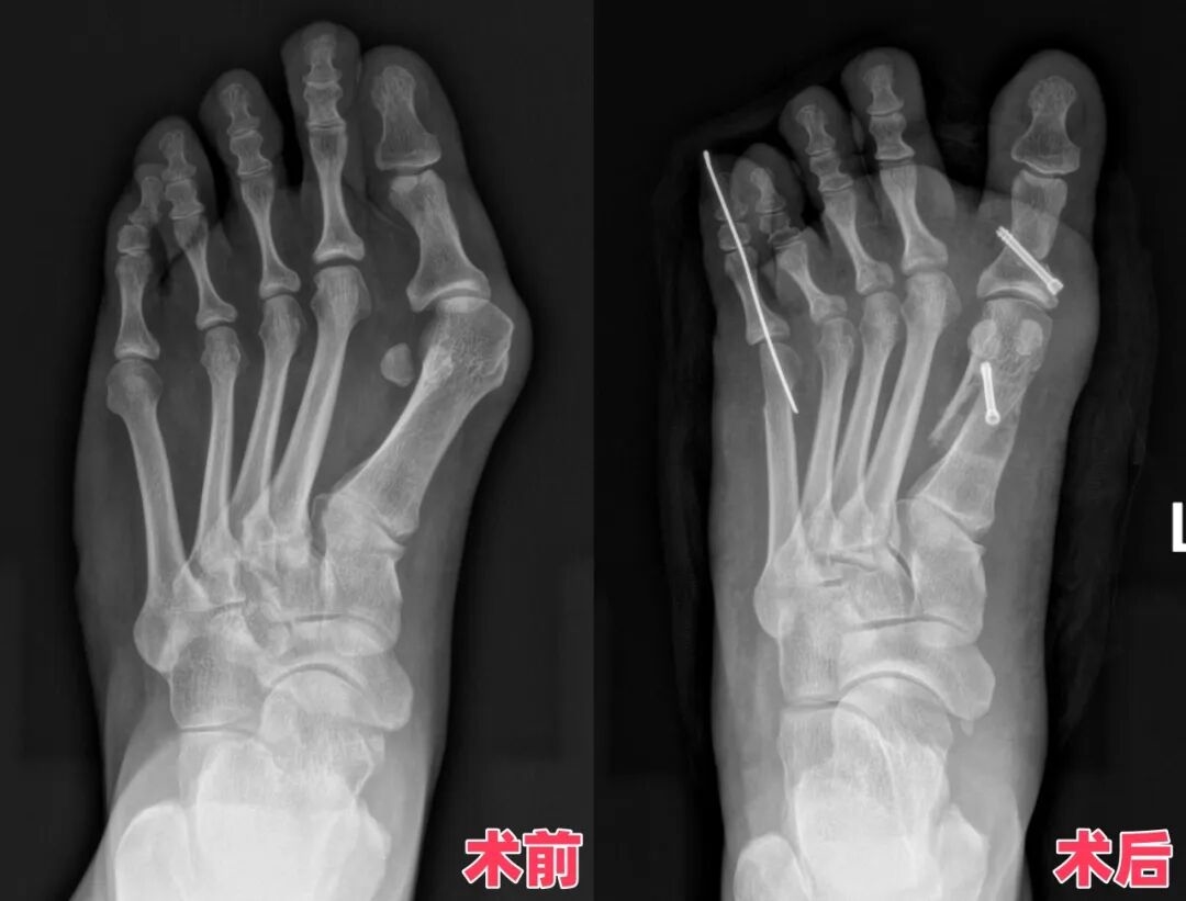
告别“大脚骨”!穿不了凉鞋的遗憾终圆满
中华宽带网
2025-12-23 13:40:40
字号:- +

编辑:
扫码下载
齐点淄博APP
扫码关注
齐点淄博微信公众号
扫码关注
齐点淄博抖音号
扫码关注
齐点淄博快手号















